在光学工业中,显微镜一般用于机器视觉和生命科学,或生物和应用上。机器视觉应用可支持半导体、电子产品、装配,以及制造市场等。而生命科学应用则可用于以不同的物镜放大率,来观察细胞或生物样本。若要了解分辨能力、放大率和生命科学其他一般的物镜规格之间的相互作用,那就必须考虑到无限远校正物镜如何以5x、10X、20X和50X的放大率对皮肤细胞培养进行成像。

以下章节中的4个详细应用范例使用了爱特蒙特光学的无限远校正物镜。 其中,Mitutoyo物镜更可进行替换。尽管Mitutoyo物镜与机器视觉以及工业检测相同,但它们却可在光线偏低的环境里,以及那些于细胞和微型检测的应用中,发挥出的效果。
物镜主要术语
不论放大率为多少,无限远校正物镜都能很好地进行成像。它们非常适用于那些要求高度以及在把滤光片、分光镜、棱镜和同轴照明组件加入到光路当中时具有模块化功能的应用。但是,使用无限远校正物镜时,必须在以下几个方面进行权衡:
1)较高的放大率可产生较高的数值孔径,但工作距离却会因此变短,特定视场范围则变得更小。
2)较低的放大率可产生较低的数值孔径,但工作距离却会因此变长,特定视场范围则变得更大。
3)分辨率由放大率所控制,因此两者将会相对增加。
放大率、数值孔径、工作距离和分辨率皆与无限远校正物镜息息相关。放大率是通过以物镜焦距除以管透镜焦距而取得的。数值孔径(NA)则是入射瞳孔直径焦距的一项功能,它可影响进入到无限远校正系统的光量。工作距离(WD)由物镜光路的齐焦距离所决定;它是正面光学元件与受检测物体之间的距离。而分辨能力则是难以清楚解释的规格。由于难以在特定放大率下观察实物在进行检测时的情况,并将分辨能力量化,因此好的方法便是查阅以下章节中的应用范例。有关物镜主要术语的其他信息,请参阅“了解显微镜与物镜”。
应用范例
远场校正物镜系统应用非常广泛。就生物应用而言,为普遍的便是荧光显微镜。其中包括基本的荧光检测系统,乃具有更精密的共焦系统与多光子的荧光系统。为复杂的荧光系统拥有高放大率、精密机械、高质量的滤光片以及强大的光源,例如激光。而较为简单的系统则使用一般的宽带光源、基本的滤光片、简单的机械,以及按受检测样本而定的放大率。
低放大率的皮肤细胞培养成像
远场校正物镜必须根据几条守则,并按被测标本来作出选择。一般上,细胞的大小为10μm。许多低放大率和分辨率的物镜都适用于细胞群的成像。如果需要区分细胞膜或细胞内的组成部分,譬如线粒体、核糖体或细胞核,则1μm或以下的分辨率为理想。
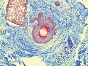
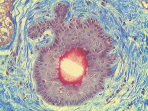
在图1-4中,所用于检测的样本为具有三色染色的“三维皮肤细胞培养模型”。此样本由位于美国北卡罗来纳三角研究园(Research Triangle Park)的Zen-Bio所培养与制备。在图1中,可清楚看 到细胞成分被细胞外基质(ECM)所包围。细胞外基质可将组织集合起来。它的内部具有间质性基质和基底膜,用于存贮多糖和纤维蛋白,以作为对抗外压的压缩缓冲。在基底膜里存有被上皮细胞间隔,层层相叠的膜片。要清楚看到多糖凝胶和上皮细胞,好的方法就是使用高放大率的无限远校正物镜。蓝色的部分是组织基质,而紫色的部分则是细胞和细胞膜。每一个细胞中都有一个含有白色和部分红色的小区域,标示着密集的细胞间物质,例如线粒体及细胞核。
图1由#59-876 5X M Plan Apo物镜采集而成。此无限远校正物镜具有0.14的数值孔径、1.28mm x 0.96mm特定视场范围的½"传感器,以及2μm的分辨能力。由于人体细胞的大小通常为10μm 左右,因此,#59-876物镜的规格是用于观察人体细胞的理想选择。

图1:在#59-876物镜及5X放大率下的组织样本三色染色
图2由#59-877 10X M Plan Apo物镜采集而成。它具有0.28的数值孔径、0.64mm x 0.48mm特定视场范围的½"传感器,以及1μm的分辨能力。在这一图片中,可清楚看到ECM的堆叠与编织以及间质结构。此外,细胞膜也清晰可见。细胞的中心位置还有一些细胞内结构,例如核糖体、线粒体以及一个大细胞核。

图2: 在#59-878物镜及10X放大率下的组织样本三色染色
高放大率的皮肤细胞培养成像
图3由#59-878 20X M PlanApo物镜采集而成。 此无限远校正物镜具有0.42的数值孔径、 0.32mm x 0.24mm特定视场范围的½"传感器,以及0.7μm的分辨能力。图3在的特 定视场范围内呈现出整个细胞。周围的细胞外基质得到更精细的区分,而细胞内分子则比图1或图2的来得更大、更清晰。

图3: 在#59-878物镜及20X放大率下的组织样本三色染色
图4展示50X放大率的物镜。高放大率可在不需经过任何机械过程,或利用压电致动器来稳定远场校正物镜和图像平面的情况下达到。在这一放大率下,照明器或计算机风扇的轻微震动可导致视频馈送发生极大的晃动并且无法对焦。图4由#59-879 50X M Plan Apo物镜采集而成。 它具有0.55的数值孔径、0.128mm x 0.096mm特定视场范围的½"传感器,以及0.5μm的分辨 能力。此物镜的焦点深度为0.9μm。因此,不使用适当的机械装置将会导致对焦变得冗长繁琐。对比图5X、10X与20X的图像,图4中的细胞膜和细胞内成分显得格外清晰及有活力。此外,细胞组成部分的大小与形状也变得更加明显可见。比较图1(5X放大率)和图4(50X放大率),放大率的增加显而易见。分辨能力提高了4倍,而特定视场范围则缩小了20倍。利用50X放大率进行成像时,必须采用高强度、高对比度的光源,以提高照明度并数字化调节快门和增益。数字设置可设定为自动的暗度和帧速率补偿。对于组装数字视频显微镜而言,这是一项极为有用的功能。有关使用现成组件来组装数字视频显微镜的其他信息,请参阅“数字视频显微镜的物镜设置”。

图4:在#59-879物镜及50X放大率下的组织样本三色染色
远场校正物镜是用于机器视觉和生命科学应用的理想物镜。在进行组织等生物样本的成像时,对不同物镜放大率的效果的了解是极其重要的。5X和10X的物镜适用于观察细胞群与细胞外基质内的细微结构。而20X和50X的物镜则可产生更大的分辨率,并可用于观察细胞内分子。
版权所有 © 2025 江阴PA视讯光电技术有限公司 备案号:苏ICP备40959605号-1 技术支持:化工仪器网 管理登陆 GoogleSitemap